瀏覽人次:206212
線上店家:1127182家
認證店家:21家
特別搜尋:非序數位行銷
產業分類
農、林、漁、牧業
礦業及土石採取業
製造業
水電燃氣業
營造及工程業
批發、零售及餐飲業
運輸、倉儲及通信業
金融、保險及不動產業
專業、科學及技術服務業
文化、運動、休閒及其他服務業
其他未分類業
牙醫
心理諮商
西醫
區域店家
熱門店家
最新消息
聯絡我們
彭光偉牙醫診所
首頁
> 牙醫> 牙醫>
牙醫
> 彭光偉牙醫診所
公司首頁
基本資料
產品介紹
人工植牙
隱適美
牙齒矯正
一般牙科
全瓷冠
全口重建
美白貼片/3D齒雕
案例實績
最新消息
詢價諮詢
收藏公司
公司網站
公司首頁
>
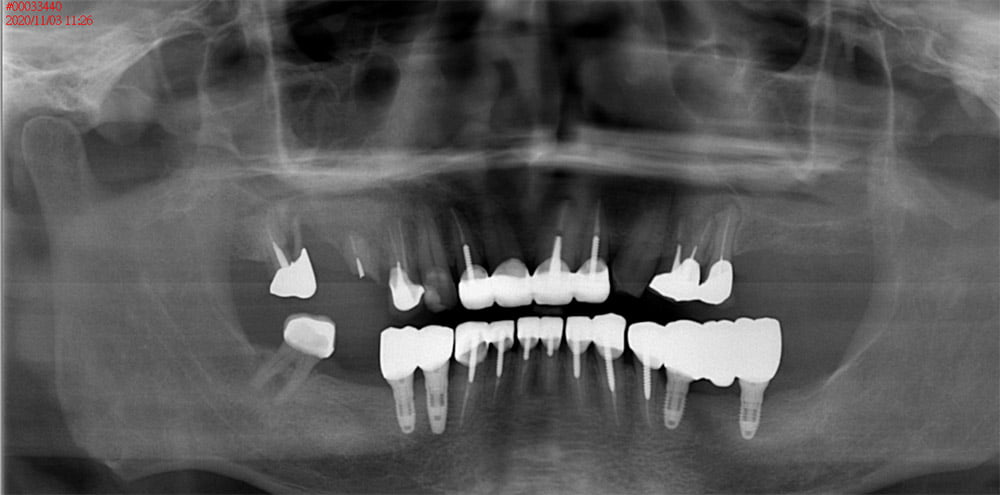
全口重建
>產品內頁
全口重建
加入詢價
相關產品
牙齒矯正
隱適美
人工植牙
回列表